Fotos 2025 Cholangitis Ultraschall

Cholangitis Ultraschall


Startseite


Cholangitis Ultraschall

1. Cholangitis

Cholangitis Ultraschall

1. Cholangitis

Cholangitis Ultraschall

Cholangitis – Atlas of Ultrasound

Cholangitis Ultraschall

Cholangitis – Atlas of Ultrasound

Cholangitis Ultraschall

Cholangitis – Atlas of Ultrasound

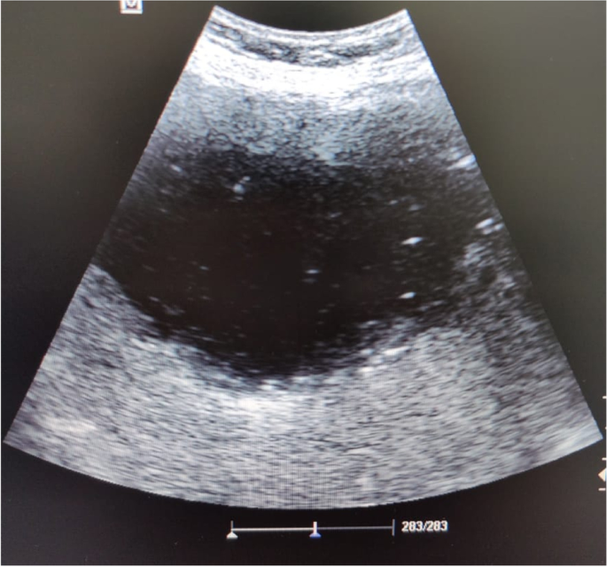
Cholangitis Ultraschall

Case of the Month May 2023 – A 68-year-old man with acute cholangitis – WFUMB

Cholangitis Ultraschall

Primär sklerosierende Cholangitis – Wikipedia

Cholangitis Ultraschall

A. ERCP aspect of a secondary posthydatid sclerosing cholangitis; b.... | Download Scientific Diagram

Cholangitis Ultraschall

Case of the Month May 2023 – A 68-year-old man with acute cholangitis – WFUMB

Cholangitis Ultraschall

Cholangitis – Atlas of Ultrasound

Cholangitis Ultraschall

Case of the Month May 2023 – A 68-year-old man with acute cholangitis – WFUMB

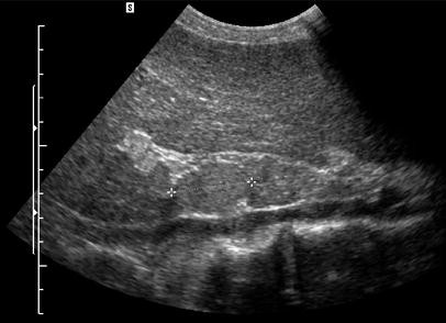
Cholangitis Ultraschall

Figure 25 from Ultrasound of the Hepatobiliary System | Semantic Scholar

Cholangitis Ultraschall

Sonographic detection of perihepatic lymphadenopathy is an indicator for primary sclerosing cholangitis in patients with inflammatory bowel disease | International Journal of Colorectal Disease

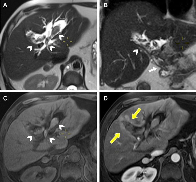
Cholangitis Ultraschall

PDF) Modern imaging of cholangitis

Cholangitis Ultraschall

The “Dirty Liver” as a Coincidental Finding on Sonography - Merkel - 2016 - Journal of Ultrasound in Medicine - Wiley Online Library

Cholangitis Ultraschall

Cureus | Adenopathies: A Confusing Presentation of Primary Biliary Cholangitis | Article

Cholangitis Ultraschall

Periportal hyperechogenicity | Radiology Reference Article | Radiopaedia.org

Cholangitis Ultraschall

Primär sklerosierende Cholangitis

Cholangitis Ultraschall

Generally Sonography Atlas of Dogs - Abdomen - Osteosarkom Hund / Osteosarcoma Dog / Sonographie Hund / Sonography Dog

Cholangitis Ultraschall

Fluctuating biomarkers in primary sclerosing cholangitis: A longitudinal comparison of alkaline phosphatase, liver stiffness, and ELF - ScienceDirect

Cholangitis Ultraschall

Ultraschall Von Großem Gallenstein In Der Menschlichen Gallenblase Stockfoto und mehr Bilder von Gallenstein - iStock

Cholangitis Ultraschall

Understand your diagnosis - rare-liver.eu

Cholangitis Ultraschall

Mistakes in endoscopic ultrasonography and how to avoid them | UEG - United European Gastroenterology

Cholangitis Ultraschall

JCM | Free Full-Text | Transplantation for Primary Sclerosing Cholangitis: Outcomes and Recurrence

Cholangitis Ultraschall

Imaging of benign biliary pathologies | Abdominal Radiology

Cholangitis Ultraschall

Behandlung von Gallensteinleiden

Cholangitis Ultraschall

PPT - Therapie von Gallensteinen PowerPoint Presentation, free download - ID:4075222

Cholangitis Ultraschall

Ultrasound and Point Shear Wave Elastography in Livers of Patients with Primary Sclerosing Cholangitis - ScienceDirect

Cholangitis Ultraschall

Prognostic value of ultrasound in early arterial complications post liver transplant

Cholangitis Ultraschall

Primär biliäre Cholangitis: Dr. Falk Pharma Deutschland

Cholangitis Ultraschall

Primäre Sklerosierende Cholangitis (PSC) | GASTROKLINIK AG

Cholangitis Ultraschall

Pin auf gesundheitstipps

Cholangitis Ultraschall

Ultrasound of the gall bladder and biliary tree: part 2 | British Journal of Hospital Medicine

Cholangitis Ultraschall

Generally Sonography Atlas of Dogs - Abdomen - Osteosarkom Hund / Osteosarcoma Dog / Sonographie Hund / Sonography Dog

Cholangitis Ultraschall

Shear wave elastography and shear wave dispersion imaging in primary biliary cholangitis—a pilot study - Schulz - Quantitative Imaging in Medicine and Surgery

Cholangitis Ultraschall

Gallengangentzündung (Cholangitis)

Cholangitis Ultraschall

Diagnostics | Free Full-Text | Updates in Diagnosis and Endoscopic Management of Cholangiocarcinoma

Cholangitis Ultraschall

Akute Cholangitis - E-Learning mit Lecturio

Cholangitis Ultraschall

Cholangiocarcinoma | Nature Reviews Disease Primers

Cholangitis Ultraschall

Shear wave elastography and shear wave dispersion imaging in primary biliary cholangitis—a pilot study - Schulz - Quantitative Imaging in Medicine and Surgery

Cholangitis Ultraschall

PDF) Modern imaging of cholangitis

Cholangitis Ultraschall

Diagnose Primär sklerosierenden Cholangitis und dessen Therapie

Cholangitis Ultraschall

Figure 25 from Ultrasound of the Hepatobiliary System | Semantic Scholar

Cholangitis Ultraschall

Update: primär biliäre Cholangitis, primär sklerosierende Cholangitis und IgG4-assoziierte Cholangitis | Die Gastroenterologie

Cholangitis Ultraschall

Gallbladder sludge | Radiology Reference Article | Radiopaedia.org

Cholangitis Ultraschall

Primär sklerosierende Cholangitis

Cholangitis Ultraschall

Fluctuating biomarkers in primary sclerosing cholangitis: A longitudinal comparison of alkaline phosphatase, liver stiffness, an

Cholangitis Ultraschall

Primär biliäre Cholangitis – Wikipedia

Cholangitis Ultraschall

Ultrasound of the gall bladder and biliary tree: part 2 | British Journal of Hospital Medicine

Cholangitis Ultraschall

Case of the Month May 2023 – A 68-year-old man with acute cholangitis – WFUMB

Cholangitis Ultraschall

Micro gallbladder | 123 Sonography

Cholangitis Ultraschall

Distinct prognostic value of different portal hypertension-associated features in patients with primary biliary cholangitis | springermedizin.de

Cholangitis Ultraschall

Utility of ElastPQ point-shear wave elastography in the work-up of patients with primary sclerosing cholangitis - ScienceDirect

Cholangitis Ultraschall

Was tun bei erhöhten Leberwerten und fokalen Leberläsionen im Ultraschall? | Ärzte Krone

Cholangitis Ultraschall

Probandensuche: Medizinische Poliklinik (Arbeitsbereich) - Charité – Universitätsmedizin Berlin

Cholangitis Ultraschall

Laparoscopic Cholecystectomy in Situs Inversus Totalis: A Case Report and a Review of Literature | Annals of Saudi Medicine

Cholangitis Ultraschall

Percutaneous Needle Aspiration of Multiple Pyogenic Abscesses of the Liver: 13-Year Single-Center Experience | AJR

Cholangitis Ultraschall

Periportal fibrosis in cholangitis | Medical ultrasound, Diagnostic medical sonography, Diagnostic medical sonography student

Cholangitis Ultraschall

A case report of COVID-19 evoked cholangitic liver abscess | Egyptian Liver Journal | Full Text

Cholangitis Ultraschall

EPOS™

Cholangitis Ultraschall

Primär sklerosierende Cholangitis

Cholangitis Ultraschall

JCM | Free Full-Text | Transplantation for Primary Sclerosing Cholangitis: Outcomes and Recurrence

Cholangitis Ultraschall

Cholangitis: Symptome, Behandlung, Ursachen - NetDoktor.de

Cholangitis Ultraschall

Bildgebende Untersuchungen der Leber und Gallenblase - Erkrankungen der Leber, der Gallenblase und der Gallenwege - MSD Manual Profi-Ausgabe

Cholangitis Ultraschall

Primär Biliäre Cholangitis (PBC) | Praxis Breitenberger

Cholangitis Ultraschall

Kurzes Update zu Erkrankungen der Gallenblase und Gallenwege

Cholangitis Ultraschall

A 63-year-old woman with autoimmune pancreatitis and sclerosing... | Download Scientific Diagram

Cholangitis Ultraschall

An Asymptomatic, Iatrogenic Hemobilia Detected by Contrast Enhanced Ultrasound of the Gallbladder - Guido Menozzi, Andrea Ricci, Francesca Maria Farina, Garlassi Elisa, Valeria Maccabruni, Barbara Marani, Laura Arletti, Carlo Grendene, 2024

Cholangitis Ultraschall

Percutaneous Needle Aspiration of Multiple Pyogenic Abscesses of the Liver: 13-Year Single-Center Experience | AJR

Cholangitis Ultraschall

Erkrankungen der Gallenwege und des Pankreas – diagnostisches Vorgehen - Gastroenterologie - Universimed - Medizin im Fokus

Cholangitis Ultraschall

Ultrasound of the gall bladder and biliary tree: part 2 | British Journal of Hospital Medicine

Cholangitis Ultraschall

Imaging of benign biliary pathologies | Abdominal Radiology

Cholangitis Ultraschall

Contrast-enhanced ultrasound in association with serum biomarkers for differentiating combined hepatocellular-cholangiocarcinoma from hepatocellular carcinoma and intrahepatic cholangiocarcinoma

Cholangitis Ultraschall

PDF) Distinct prognostic value of different portal hypertension-associated features in patients with primary biliary cholangitis | Emina Halilbasic - Academia.edu

Cholangitis Ultraschall

Primär sklerosierende Cholangitis

Cholangitis Ultraschall

Endocavitary contrast‐enhanced ultrasound: A technique whose time has come? - Müller - 2015 - Journal of Clinical Ultrasound - Wiley Online Library

Cholangitis Ultraschall

Hazem Tabbaa (@HazemTabbaaDO) / X

Cholangitis Ultraschall

1. Cholangitis

Cholangitis Ultraschall

Case of the Month May 2023 – A 68-year-old man with acute cholangitis – WFUMB

Cholangitis Ultraschall

BIR Publications

Cholangitis Ultraschall

Generally Sonography Atlas of Dogs - Abdomen - Osteosarkom Hund / Osteosarcoma Dog / Sonographie Hund / Sonography Dog

Cholangitis Ultraschall

Cholangiocarcinoma | Nature Reviews Disease Primers

Cholangitis Ultraschall

Cholangiohydatidosis. Clinical features, postoperative complications and hospital mortality. A systematic review | PLOS Neglected Tropical Diseases

Cholangitis Ultraschall

The Value of Contrast-Enhanced Ultrasound-Guided Contrast Injection via the Endoscopic Nasobiliary Drainage Duct in Diagnosing Residual Common Bile Duct Stones

Cholangitis Ultraschall

An Asymptomatic, Iatrogenic Hemobilia Detected by Contrast Enhanced Ultrasound of the Gallbladder - Guido Menozzi, Andrea Ricci, Francesca Maria Farina, Garlassi Elisa, Valeria Maccabruni, Barbara Marani, Laura Arletti, Carlo Grendene, 2024

Cholangitis Ultraschall

Diagnostic accuracy of B-Mode ultrasound and Hepatorenal Index for graduation of hepatic steatosis in patients with chronic liver disease. - Abstract - Europe PMC

Cholangitis Ultraschall

Pyogenic liver abscess: contrast-enhanced ultrasound allows morpho-evolutive classification and guides personalized management

Cholangitis Ultraschall

BIR Publications

Cholangitis Ultraschall

Mistakes in endoscopic ultrasonography and how to avoid them | UEG - United European Gastroenterology

Cholangitis Ultraschall

Roberto Chiavaroli - ASL Teramo | LinkedIn

Cholangitis Ultraschall

Primär biliäre Cholangitis | PBC | Spezialsprechstunde | Zürich

Cholangitis Ultraschall

Primäre biliäre Cholangitis | GASTROKLINIK AG