Fotos 2025 Osteoblastom Radiologie

Osteoblastom Radiologie


Startseite


Osteoblastom Radiologie

Osteoblastoma | Radiology Reference Article | Radiopaedia.org

Osteoblastom Radiologie

Osteoblastoma | Radiology Case | Radiopaedia.org

Osteoblastom Radiologie

Osteoblastoma Imaging: Practice Essentials, Radiography, Computed Tomography

Osteoblastom Radiologie

Osteoblastoma of the thoracic spine | Radiology Case | Radiopaedia.org

Osteoblastom Radiologie

Osteoblastoma : Bone Tumor Cancer : Tumors of the bone

Osteoblastom Radiologie

Osteoblastoma | Radiology Case | Radiopaedia.org

Osteoblastom Radiologie

Osteoblastoma | Radiology Case | Radshare.net

Osteoblastom Radiologie

Figure, Osteoblastoma Image courtesy S Bhimji MD] - StatPearls - NCBI Bookshelf

Osteoblastom Radiologie

Osteoblastoma - OrthoInfo - AAOS

Osteoblastom Radiologie

Tibial osteoblastoma | Radiology Case | Radiopaedia.org

Osteoblastom Radiologie

Spinal osteoblastoma: a retrospective study of 35 patients' imaging findings with an emphasis on MRI | Insights into Imaging | Full Text

Osteoblastom Radiologie

St.2 osteoblastoma: CT axial image of C2 showing a lytic area... | Download Scientific Diagram

Osteoblastom Radiologie

JCM | Free Full-Text | Osteoblastoma: When the Treatment Is Not Minimally Invasive, an Overview

Osteoblastom Radiologie

Osteoblastoma. Radiograph shows expansion of the fourth lumbar pedicle,... | Download Scientific Diagram

Osteoblastom Radiologie

Osteoblastoma of the femur | Eurorad

Osteoblastom Radiologie

Osteoblastoma | Radiology Case | Radiopaedia.org

Osteoblastom Radiologie

Spinal osteoblastoma: a retrospective study of 35 patients' imaging findings with an emphasis on MRI | Insights into Imaging | Full Text

Osteoblastom Radiologie

Osteoblastoma of the radius | Eurorad

Osteoblastom Radiologie

Osteoblastoma - OrthoInfo - AAOS

Osteoblastom Radiologie

File:Pelvic-osteoblastoma.jpg - wikidoc

Osteoblastom Radiologie

Osteoblastoma | Pediatric Radiology Reference Article | Pediatric Imaging | @pedsimaging

Osteoblastom Radiologie

Osteoblastoma: Practice Essentials, Anatomy, Pathophysiology and Etiology

Osteoblastom Radiologie

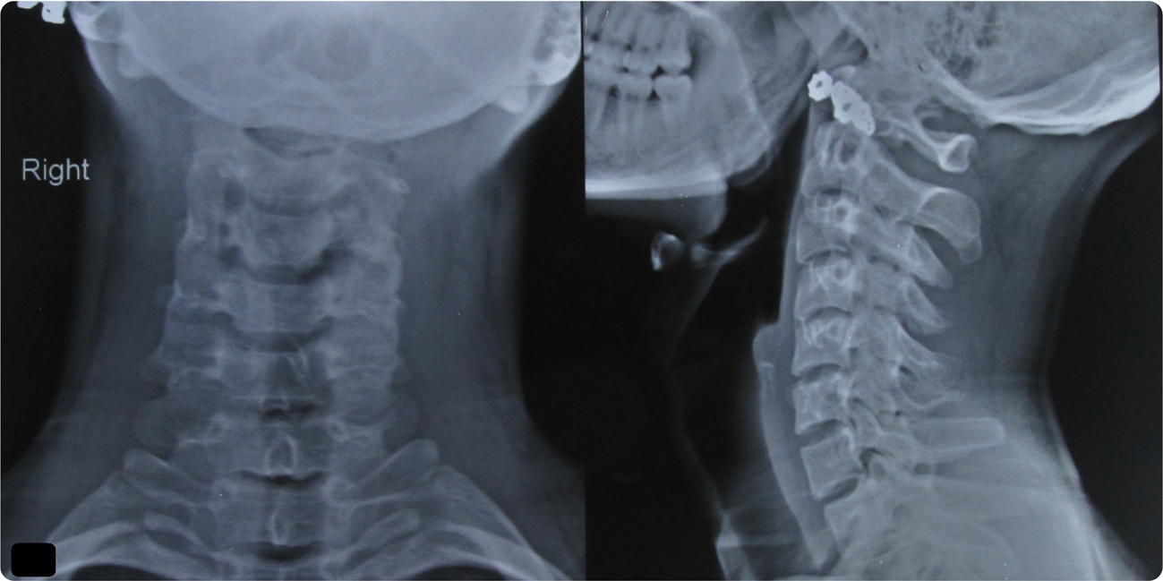
Osteoblastoma - cervical spine | Radiology Case | Radiopaedia.org

Osteoblastom Radiologie

Spinal osteoblastoma: a retrospective study of 35 patients' imaging findings with an emphasis on MRI | Insights into Imaging | Full Text

Osteoblastom Radiologie

Osteoblastoma of radius

Osteoblastom Radiologie

Osteoblastoma in a 25-year-old male, Enneking stage 3 on both CT and... | Download Scientific Diagram

Osteoblastom Radiologie

Osteoblastoma : Bone Tumor Cancer : Tumors of the bone

Osteoblastom Radiologie

Osteoblastoma - Pathology - Orthobullets

Osteoblastom Radiologie

Periosteal osteoblastoma: Multimodal imaging of a rare neoplasm - ScienceDirect

Osteoblastom Radiologie

Osteoblastoma of the second metatarsal: a case report. | Semantic Scholar

Osteoblastom Radiologie

Osteoblastoma | Radiology Case | Radiopaedia.org

Osteoblastom Radiologie

Osteoblastoma in a 29-year-old male, Enneking stage 2 on CT and stage 3... | Download Scientific Diagram

Osteoblastom Radiologie

Osteoblastoma - YouTube

Osteoblastom Radiologie

Roentgen Ray Reader: Osteoblastoma

Osteoblastom Radiologie

Osteoblastoma - Pathology - Orthobullets

Osteoblastom Radiologie

66 Subperiosteal Osteoblastoma | Radiology Key

Osteoblastom Radiologie

Figure 1 from Osteoblastoma of the jaws: report of a case and review of literature | Semantic Scholar

Osteoblastom Radiologie

Clinical management of a challenging malignancy, osteoblastoma-like os | TCRM

Osteoblastom Radiologie

Destructive osteoblastoma of the cervical spine with complete neurologic recovery | Spinal Cord

Osteoblastom Radiologie

Bone: Osteoblastoma

Osteoblastom Radiologie

Osteoid osteoma of the rib with strong F-18 fluoro-deoxyglucose uptake mimicking osteoblastoma: a case report with literature review - Yuka Ishikura, Rika Yoshida, Takeshi Yoshizako, Kouji Kishimoto, Noriyoshi Ishikawa, Riruke Maruyama, Hajime

Osteoblastom Radiologie

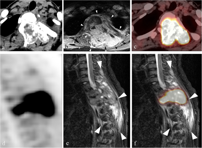
Imaging algorithm and multimodality evaluation of spinal osteoblastoma | BMC Musculoskeletal Disorders | Full Text

Osteoblastom Radiologie

Scoliosis secondary to spinal osteoblastoma | Eurorad

Osteoblastom Radiologie

A 42-year-old male patient (case 6) with aggressive osteoblastoma in... | Download Scientific Diagram

Osteoblastom Radiologie

MRI of Thoracic Osteoblastoma - Stock Image - C004/7506 - Science Photo Library

Osteoblastom Radiologie

A clinicopathologic correlation in osteoblastoma of the spine in a child - ScienceDirect

Osteoblastom Radiologie

Osteoblastoma of the clavicle at the site of a previous fracture—first case report and review of the literature | Skeletal Radiology

Osteoblastom Radiologie

Benign osteoblastoma of the mandible in a 12‑year‑old female: A case report

Osteoblastom Radiologie

Osteoblastoma | Radiology Key

Osteoblastom Radiologie

Osteoblastoma - Pathology - Orthobullets

Osteoblastom Radiologie

JCM | Free Full-Text | Post-Procedural Follow-Up of the Interventional Radiology’s Management of Osteoid Osteomas and Osteoblastomas

Osteoblastom Radiologie

Osteoblastoma : Bone Tumor Cancer : Tumors of the bone

Osteoblastom Radiologie

PDF] A spinal osteoblastoma in a child, situated in the vertebral body – CT and MR imaging | Semantic Scholar

Osteoblastom Radiologie

Diagnos Clinique - Bone lesions are areas of bone that are changed or damaged. Causes of bone lesions include infections, fractures, or tumors. When cells within the bone start to divide uncontrollably,

Osteoblastom Radiologie

Clinical management of a challenging malignancy, osteoblastoma-like os | TCRM

Osteoblastom Radiologie

Aggressive osteoblastoma of the cervical spine involving the canal and vertebral artery: a case report | European Spine Journal

Osteoblastom Radiologie

Spinal osteoblastoma: a retrospective study of 35 patients' imaging findings with an emphasis on MRI | Insights into Imaging | Full Text

Osteoblastom Radiologie

Pathology Outlines - Osteoblastoma, NOS

Osteoblastom Radiologie

The Radiology Assistant : Bone tumor H-O

Osteoblastom Radiologie

Tailored surgery on aggressive osteoblastoma involving the cervicothoracic junction: an oncological and spinal stability long-term follow-up | Spinal Cord Series and Cases

Osteoblastom Radiologie

PDF] Aggressive osteoblastoma of the mandible: A diagnostic dilemma | Semantic Scholar

Osteoblastom Radiologie

Osteoblastoma of the femur | Eurorad

Osteoblastom Radiologie

Osteoblastoma Imaging: Practice Essentials, Radiography, Computed Tomography

Osteoblastom Radiologie

Osteoblastoma in the region of the hip - ScienceDirect

Osteoblastom Radiologie

Clinical management of a challenging malignancy, osteoblastoma-like os | TCRM

Osteoblastom Radiologie

Case Report: Osteoblastoma of the Maxillar Sinus

Osteoblastom Radiologie

Osteoblastoma | pacs

Osteoblastom Radiologie

Osteoblastoma - OrthoInfo - AAOS

Osteoblastom Radiologie

Osteoblastoma of L2. CT scan shows an expansive osteolytic lesion of... | Download Scientific Diagram

Osteoblastom Radiologie

Osteoblastoma of the ethmoid sinus | Skeletal Radiology

Osteoblastom Radiologie

Osteoblastoma of the rib with CT and MR imaging: a case report and literature review | World Journal of Surgical Oncology | Full Text

Osteoblastom Radiologie

Webpathology.com: A Collection of Surgical Pathology Images

Osteoblastom Radiologie

Osteoblastoma of body of the talus—Report of a rare case with atypical radiological features - ScienceDirect

Osteoblastom Radiologie

Osteoblastoma ! | Body treatments, Radiology, Medical conditions

Osteoblastom Radiologie

Osteoblastoma Imaging: Practice Essentials, Radiography, Computed Tomography

Osteoblastom Radiologie

Osteoblastoma Is a Metabolically Active Benign Bone Tumor on 18F-FDG PET Imaging | Journal of Nuclear Medicine Technology

Osteoblastom Radiologie

Fig1.png

Osteoblastom Radiologie

JCM | Free Full-Text | Craniofacial Osteomas: From Diagnosis to Therapy

Osteoblastom Radiologie

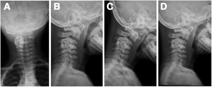
Treatment of osteoblastoma at C3-4 in a child: a case report | BMC Musculoskeletal Disorders | Full Text

Osteoblastom Radiologie

Painful Scoliosis | Pediatric Radiology Reference Article | Pediatric Imaging | @pedsimaging

Osteoblastom Radiologie

RadiologySpirit: osteoblastoma

Osteoblastom Radiologie

Osteoblastom | MUM – Muskuloskelettales Universitätszentrum München

Osteoblastom Radiologie

Pathology Outlines - Osteoblastoma, NOS

Osteoblastom Radiologie

Clinical Features and Surgical Management of Spinal Osteoblastoma: A Retrospective Study in 18 Cases | PLOS ONE

Osteoblastom Radiologie

Panoramic radiograph of an aggressive osteoblastoma of the mandible. | Download Scientific Diagram

Osteoblastom Radiologie

Osteoblastoma in the region of the hip - ScienceDirect

Osteoblastom Radiologie

Osteoblastoma Imaging: Practice Essentials, Radiography, Computed Tomography

Osteoblastom Radiologie

Osteoblastoma - YouTube

Osteoblastom Radiologie

EPOS™

Osteoblastom Radiologie

MIR Teaching file case bs122

Osteoblastom Radiologie

Osteoblastoma | Orthopedics

Osteoblastom Radiologie

C4 cervical spine osteoblastoma associated with secondary aneurysmal bone cyst in an adolescent patient: 2-year follow-up | Spinal Cord Series and Cases

Osteoblastom Radiologie

Figure I from Aggressive osteoblastoma of the proximal humerus. | Semantic Scholar

Osteoblastom Radiologie

Osteoblastoma | Radiology Case | Radiopaedia.org

Osteoblastom Radiologie

Osteoblastom | MUM – Muskuloskelettales Universitätszentrum München

Osteoblastom Radiologie

Osteoblastoma : Bone Tumor Cancer : Tumors of the bone

Osteoblastom Radiologie

Osteoblastoma

Osteoblastom Radiologie

Percutaneous Radiofrequency Ablation of a C2 Osteoblastoma | Insight Medical Publishing

Osteoblastom Radiologie

Periosteal osteoblastoma: report of a case with a rare histopathologic presentation and review of the literature | Skeletal Radiology

Osteoblastom Radiologie

Aggressive Osteoblastoma of the Acetabulum in an 18-Year-Old Female Volleyball Player – The Sport Journal