Fotos 2025 Parinaud Syndrom

Parinaud Syndrom


Startseite


Parinaud Syndrom

Parinaud's syndrome - Wikipedia

Parinaud Syndrom

Parinaud's syndrome What? • Light-near dissociation ... | GrepMed

Parinaud Syndrom

Parinaud's syndrome - Wikipedia

Parinaud Syndrom

Neurophilic on X: "Parinaud's Syndrome https://t.co/T7LwaDYlv9" / X

Parinaud Syndrom

Parinaud's syndrome (dorsal midbrain syndrome). | Download Scientific Diagram

Parinaud Syndrom

Parinaud's Syndrome What? - Impaired upgaze - Light-near ... | GrepMed

Parinaud Syndrom

EyeRounds.org: Parinaud's Syndrome (Dorsal Midbrain Syndrome) with bilateral superior oblique palsy

Parinaud Syndrom

Surgical Neurology International

Parinaud Syndrom

Parinaud syndrome causes, symptoms, diagnosis, treatment & prognosis

Parinaud Syndrom

Parinaud “plus” syndrome in a patient with dysgerminoma - ScienceDirect

Parinaud Syndrom

Parinaud Syndrome - Ophthalmology - Medbullets Step 2/3

Parinaud Syndrom

Brain Sciences | Free Full-Text | Understanding Parinaud's Syndrome

Parinaud Syndrom

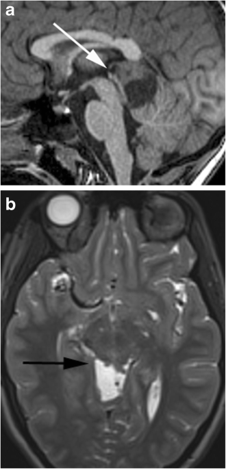
MRI findings in Parinaud's syndrome: a closer look at pineal masses | Neuroradiology

Parinaud Syndrom

Suba and Elle on X: "#Parinaud syndrome, aka the #dorsalmidbrainsyndrome, is highly localizing. #MedEd #FOAMed #NeuroTwitter #MedStudentTwitter #MedTwitter #ophthalmology #NEETPG #Neurology #usmle https://t.co/LKHEQWQgad" / X

Parinaud Syndrom

Figure, Parinaud syndrome Image courtesy: https://commons.wikimedia.org/wiki/File:Parinaud_syndrome_2.jpg] - StatPearls - NCBI Bookshelf

Parinaud Syndrom

Parinaud syndrome Flashcards | Quizlet

Parinaud Syndrom

Parinaud Oculoglandular Syndrome and Cat Scratch Disease - YouTube

Parinaud Syndrom

Dorsal midbrain (Parinaud) syndrome | Practical Neurology

Parinaud Syndrom

What Is Parinaud Syndrome?

Parinaud Syndrom

Parinaud Syndrome - EyeWiki

Parinaud Syndrom

DBMCI Egurukul - The dorsal midbrain syndrome, or Parinaud syndrome, may include trochlear palsy with upgaze weakness, downgaze limitation, convergence spasm, convergence-retraction nystagmus, lid retraction, light-near dissociation, or a combination ...

Parinaud Syndrom

Parinaud Syndrome, Tumor of Pineal gland #mbbs #medicine #neetpg #inicet #aiims #usmle - YouTube

Parinaud Syndrom

What Is Parinaud Syndrome?

Parinaud Syndrom

J.ophthalmol.(Ukraine).2022;4:58-61. | Офтальмологічний журнал

Parinaud Syndrom

Brain Sciences | Free Full-Text | Understanding Parinaud's Syndrome

Parinaud Syndrom

Jasmine Low on X: "Echoing the theme of #Eponyms in #Neurology, we will talk about #Parinaud Syndrome in today's #tweetorial 🧠 Find out the 4 signs in the one-min video below👁👁 @MedicsAcademy @

Parinaud Syndrom

Gaze palsy | PPT

Parinaud Syndrom

Dorsal midbrain syndrome – Case-Based Neuro-Ophthalmology

Parinaud Syndrom

Parinaud's Syndrome: Buy Parinaud's Syndrome by unknown at Low Price in India | Flipkart.com

Parinaud Syndrom

Pseudo‐Parinaud syndrome: eyelid retraction and upgaze palsy associated with oculomotor nucleus syndrome - Suda - 2009 - Clinical & Experimental Ophthalmology - Wiley Online Library

Parinaud Syndrom

Parinaud Oculoglandular Syndrome: Causes and Treatment | OBN

Parinaud Syndrom

Parinaud-Syndrom - Ursachen, Symptome & Behandlung | MedLexi.de

Parinaud Syndrom

Dorsal midbrain (Parinaud) syndrome | Practical Neurology

Parinaud Syndrom

Dorsal midbrain syndrome – Case-Based Neuro-Ophthalmology

Parinaud Syndrom

M y W a y on X: "🔹Tumor of the pineal gland produces loss of upper gaze and the physical finding known as “sunset eyes” (Parinaud syndrome). #فضفضة_طالب_طب #فضفضة_طبيب #لست_وحدك https://t.co/Bd2ZeMNEBd" /

Parinaud Syndrom

Parinaud oculoglandular syndrome By Dr. Sara Dong ... | GrepMed

Parinaud Syndrom

Parinaud's Syndrome - YouTube

Parinaud Syndrom

Parinaud's syndrome due to an unilateral vascular ischemic lesion | International Ophthalmology

Parinaud Syndrom

Atlas Entry - Parinaud oculoglandular syndrome

Parinaud Syndrom

Differential diagnosis of Parinaud's syndrome. | Download Scientific Diagram

Parinaud Syndrom

CUEZ endocrine - 💖โรคต่อมไร้ท่อ และ Perinaud's syndrome 💖 โค้งสุดท้าย long case 👨🏻‍⚕️ สวัสดีพุธสิ้นเดือนครับ😊 . วันศุกร์นี้ก็จะสอบภาคปฏิบัติของ resident 3 อายุรศาสตร์แล้วนะครับ เรามาคุยเรื่องโรคต่อมใต้สมองที่เป็นยาดำสำหรับน้องๆ resident กันดีว่า ...

Parinaud Syndrom

Midbrain Lesions: Benedikt, Weber, Claude, Parinaud Syndrome - Notes - NinjaNerd Medicine

Parinaud Syndrom

Parinaud Oculoglandular Syndrome - EyeWiki

Parinaud Syndrom

Surgical treatment of upgaze palsy in Parinaud's syndrome - ScienceDirect

Parinaud Syndrom

PDF) Teaching NeuroImages:Dorsal midbrain (Parinaud) syndrome with corectopia | Volker Strenger - Academia.edu

Parinaud Syndrom

Surgical Neurology International

Parinaud Syndrom

Síndrome de Parinaud – Wikipédia, a enciclopédia livre

Parinaud Syndrom

Parinaud syndrome | Radiology Reference Article | Radiopaedia.org

Parinaud Syndrom

Dorsal midbrain syndrome – Case-Based Neuro-Ophthalmology

Parinaud Syndrom

Differential diagnosis of Parinaud's syndrome. | Download Scientific Diagram

Parinaud Syndrom

NASA Courses for doctors

Parinaud Syndrom

Parinaud Syndrome in Association with Thalamic Infarct in a Young Person | Semantic Scholar

Parinaud Syndrom

Parinaud syndrome Flashcards | Quizlet

Parinaud Syndrom

Surgical Neurology International

Parinaud Syndrom

Parinaud's oculoglandular syndrome attributable to an encounter with a wild rabbit - ScienceDirect

Parinaud Syndrom

Dream NExT - Some of the most common chromosomal abnormalities include: Down's syndrome or trisomy 21 Edward's syndrome or trisomy 18 Patau syndrome or trisomy 13 Cri du chat syndrome or 5p

Parinaud Syndrom

Etiologies of Parinaud's syndrome. | Download Scientific Diagram

Parinaud Syndrom

Parinaud Syndrome | Eccles Health Sciences Library | J. Willard Marriott Digital Library

Parinaud Syndrom

Supranuclear vertical gaze palsy with midbrain cavernoma: A rare case of Parinaud's syndrome | Semantic Scholar

Parinaud Syndrom

Dorsales Mittelhirnsyndrom/Parinaud-Syndrom © Helmut Wilhelm, Tübingen - YouTube

Parinaud Syndrom

Teaching Video NeuroImage: Parinaud Syndrome Due to Ventriculoperitoneal Shunt Malfunction in a Patient With Neurosarcoidosis | Neurology

Parinaud Syndrom

Parinaud's Oculoglandular Syndrome in Cat Scratch Disease | NEJM

Parinaud Syndrom

Surgical Neurology International

Parinaud Syndrom

Parinaud transparent background PNG cliparts free download | HiClipart

Parinaud Syndrom

Clinical photograph of the newborn demonstrating Parinaud's syndrome | Download Scientific Diagram

Parinaud Syndrom

Brain Sciences | Free Full-Text | Understanding Parinaud's Syndrome

Parinaud Syndrom

Teaching NeuroImages: Acute Parinaud syndrome | Neurology

Parinaud Syndrom

PDF] Multiple sclerosis presenting as Parinaud syndrome. | Semantic Scholar

Parinaud Syndrom

ShopUi

Parinaud Syndrom

When Things Aren't Looking Up

Parinaud Syndrom

Convergence Retraction Nystagmus (Parinaud's Syndrome) | Convergence, Syndrome, Development

Parinaud Syndrom

Brainstem Syndromes | Clinical Gate

Parinaud Syndrom

MRI findings in Parinaud's syndrome: a closer look at pineal masses | Neuroradiology

Parinaud Syndrom

Parinaud's Syndrome with Impaired Upward Saccades and Otherwise Normal Vertical Eye Movements | Eccles Health Sciences Library | J. Willard Marriott Digital Library

Parinaud Syndrom

Case 1. (A) Parinaud syndrome, right esotropia and cerebral palsy. (B)... | Download Scientific Diagram

Parinaud Syndrom

Ophthalmology - Dorsal midbrain syndrome - YouTube

Parinaud Syndrom

Neuro-ophthalmology Illustrated Chapter 17 – Disorders of the Eyelid 4 — Neuro-Ophthalmology

Parinaud Syndrom

Parinaud Syndrome - EyeWiki

Parinaud Syndrom

Collier's sign - Neurosigns

Parinaud Syndrom

Parinaud's Oculoglandular Syndrome | Ento Key

Parinaud Syndrom

Eye Disorder In Parinaud's Syndrome - Mnemonic - Medicalsupernotes | Medical mnemonics, Mnemonics, Nursing mnemonics

Parinaud Syndrom

SciELO - Brasil - Parinaud's syndrome secondary to thromboembolism from myocardial infarction associated with myelofibrosis Parinaud's syndrome secondary to thromboembolism from myocardial infarction associated with myelofibrosis

Parinaud Syndrom

Acute upward gaze palsy: Not always Parinaud syndrome - Salvatore Rossi, Giovanni Frisullo, Raffaele Iorio, 2020

Parinaud Syndrom

Dr. Amr Arafa psychiatrist - The sunset eye sign (also known as the setting sun phenomenon) is a clinical phenomenon encountered in infants and young children with raised intracranial pressures (seen in

Parinaud Syndrom

Parinaud syndrome • MEDtube.net

Parinaud Syndrom

EyeRounds.org: Parinaud's Syndrome (Dorsal Midbrain Syndrome) with bilateral superior oblique palsy

Parinaud Syndrom

Parinaud's Oculoglandular Syndrome | Ento Key

Parinaud Syndrom

Dorsal midbrain syndrome, Parinaud syndrome - YouTube

Parinaud Syndrom

Fig. 35.

Parinaud Syndrom

Parinaud's Syndrome Weber's Syndrome Gaze Benedikt Syndrome Rostral Interstitial Nucleus Of Medial Longitudinal Fasciculus PNG, Clipart,

Parinaud Syndrom

NASA Courses for doctors

Parinaud Syndrom

Teaching Video NeuroImage: Parinaud Syndrome Due to Ventriculoperitoneal Shunt Malfunction in a Patient With Neurosarcoidosis | Neurology

Parinaud Syndrom

PDF) Understanding Parinaud's Syndrome | Maria Paez - Academia.edu

Parinaud Syndrom

PDF] Understanding Parinaud's Syndrome | Semantic Scholar

Parinaud Syndrom

Significance of upward gaze palsy (Parinaud's syndrome) in hydrocephalus due to shunt malfunction in: Journal of Neurosurgery Volume 38 Issue 6 (1973) Journals

Parinaud Syndrom

Supranuclear pathways and lesions | PPT