Fotos 2025 Substantia Nigra Und Ventraler Tegmentaler Bereich

Substantia Nigra Und Ventraler Tegmentaler Bereich


Startseite


Substantia nigra und ventraler tegmentaler Bereich

Activations in the vicinity of substantia nigra/ventral tegmental area... | Download Scientific Diagram

Substantia nigra und ventraler tegmentaler Bereich

The nigrostriatal dopamine pathway (arrows showing connections from... | Download Scientific Diagram

Substantia nigra und ventraler tegmentaler Bereich

Figure S2. Substantia nigra (SN, green) and ventral tegmental area... | Download Scientific Diagram

Substantia nigra und ventraler tegmentaler Bereich

15 Ventral Tegmental Area Images, Stock Photos, 3D objects, & Vectors | Shutterstock

Substantia nigra und ventraler tegmentaler Bereich

Psychology, Biopsychology, The Brain and Spinal Cord | OpenEd CUNY

Substantia nigra und ventraler tegmentaler Bereich

15 Ventral Tegmental Area Images, Stock Photos, 3D objects, & Vectors | Shutterstock

Substantia nigra und ventraler tegmentaler Bereich

Schematic outline showing the midbrain dopaminergic sources and main... | Download Scientific Diagram

Substantia nigra und ventraler tegmentaler Bereich

Ventral tegmental area - Wikipedia

Substantia nigra und ventraler tegmentaler Bereich

Connectomic Analysis of Substantia Nigra Pars Compacta and Ventral Tegmental Area Projections to the Striatum and Cortex | Semantic Scholar

Substantia nigra und ventraler tegmentaler Bereich

Duke Neurosciences - Lab 3: Cranial Nerve and Neuromodulatory Nuclei of the Brainstem

Substantia nigra und ventraler tegmentaler Bereich

Neurotransmitters | 물리, 운동

Substantia nigra und ventraler tegmentaler Bereich

Distinct alterations in cerebellar connectivity with substantia nigra and ventral tegmental area in Parkinson's disease | Scientific Reports

Substantia nigra und ventraler tegmentaler Bereich

Dopaminergic pathways - Wikipedia

Substantia nigra und ventraler tegmentaler Bereich

15 Ventral Tegmental Area Images, Stock Photos, 3D objects, & Vectors | Shutterstock

Substantia nigra und ventraler tegmentaler Bereich

Editing Substantia Nigra - Physiopedia

Substantia nigra und ventraler tegmentaler Bereich

30+ Substantia Nigra Stock Photos, Pictures & Royalty-Free Images - iStock | Parkinson's disease, Parkinson's

Substantia nigra und ventraler tegmentaler Bereich

15 Ventral Tegmental Area Images, Stock Photos, 3D objects, & Vectors | Shutterstock

Substantia nigra und ventraler tegmentaler Bereich

Parkinson's Disease Symptoms, Causes & Parkinsonism | MNC

Substantia nigra und ventraler tegmentaler Bereich

Frontiers | Differences in neural connectivity between the substantia nigra and ventral tegmental area in the human brain

Substantia nigra und ventraler tegmentaler Bereich

PDF] Resting state networks distinguish human ventral tegmental area from substantia nigra | Semantic Scholar

Substantia nigra und ventraler tegmentaler Bereich

Basal ganglia - Wikipedia

Substantia nigra und ventraler tegmentaler Bereich

Substantia hi-res stock photography and images - Page 2 - Alamy

Substantia nigra und ventraler tegmentaler Bereich

What is the VTA in the brain? - Quora

Substantia nigra und ventraler tegmentaler Bereich

Ventral tegmental area - Wikipedia

Substantia nigra und ventraler tegmentaler Bereich

15 Ventral Tegmental Area Images, Stock Photos, 3D objects, & Vectors | Shutterstock

Substantia nigra und ventraler tegmentaler Bereich

15 Ventral Tegmental Area Images, Stock Photos, 3D objects, & Vectors | Shutterstock

Substantia nigra und ventraler tegmentaler Bereich

30+ Substantia Nigra Stock Photos, Pictures & Royalty-Free Images - iStock | Parkinson's disease, Parkinson's

Substantia nigra und ventraler tegmentaler Bereich

Distinct alterations in cerebellar connectivity with substantia nigra and ventral tegmental area in Parkinson's disease | Scientific Reports

Substantia nigra und ventraler tegmentaler Bereich

15 Ventral Tegmental Area Images, Stock Photos, 3D objects, & Vectors | Shutterstock

Substantia nigra und ventraler tegmentaler Bereich

30+ Substantia Nigra Stock Photos, Pictures & Royalty-Free Images - iStock | Parkinson's disease, Parkinson's

Substantia nigra und ventraler tegmentaler Bereich

Frontiers | Anatomical Templates of the Midbrain Ventral Tegmental Area and Substantia Nigra for Asian Populations

Substantia nigra und ventraler tegmentaler Bereich

15 Ventral Tegmental Area Images, Stock Photos, 3D objects, & Vectors | Shutterstock

Substantia nigra und ventraler tegmentaler Bereich

Distinct alterations in cerebellar connectivity with substantia nigra and ventral tegmental area in Parkinson's disease | Scientific Reports

Substantia nigra und ventraler tegmentaler Bereich

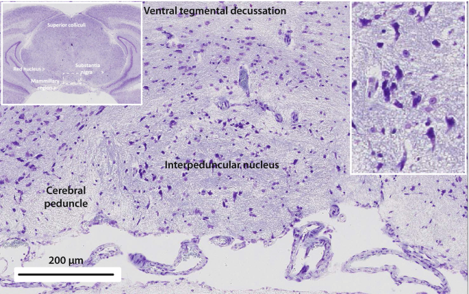
Hamilton - Timmons Figure 7 - 11

Substantia nigra und ventraler tegmentaler Bereich

Tegmentum | Brain for ai Wiki | Fandom

Substantia nigra und ventraler tegmentaler Bereich

The substantia nigra and ventral tegmental dopaminergic neurons from development to degeneration - ScienceDirect

Substantia nigra und ventraler tegmentaler Bereich

Similar Roles of Substantia Nigra and Ventral Tegmental Dopamine Neurons in Reward and Aversion | Journal of Neuroscience

Substantia nigra und ventraler tegmentaler Bereich

Central Tegmental Tract - an overview | ScienceDirect Topics

Substantia nigra und ventraler tegmentaler Bereich

Collateral projections from the ventral tegmental area/substantia nigra pars compacta to the nucleus accumbens and insular cortex in the rat | Anatomical Science International

Substantia nigra und ventraler tegmentaler Bereich

Frontiers | Anatomical Templates of the Midbrain Ventral Tegmental Area and Substantia Nigra for Asian Populations

Substantia nigra und ventraler tegmentaler Bereich

15 Ventral Tegmental Area Images, Stock Photos, 3D objects, & Vectors | Shutterstock

Substantia nigra und ventraler tegmentaler Bereich

Substantia hi-res stock photography and images - Page 2 - Alamy

Substantia nigra und ventraler tegmentaler Bereich

Ventral tegmental area - Wikipedia

Substantia nigra und ventraler tegmentaler Bereich

The nigrostriatal dopamine pathway (arrows showing connections from... | Download Scientific Diagram

Substantia nigra und ventraler tegmentaler Bereich

Substantia hi-res stock photography and images - Page 2 - Alamy

Substantia nigra und ventraler tegmentaler Bereich

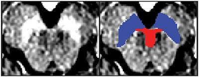
Scatterplot of substantia nigra echogenicity (left and right side... | Download Scientific Diagram

Substantia nigra und ventraler tegmentaler Bereich

Collateral projections from the ventral tegmental area/substantia nigra pars compacta to the nucleus accumbens and insular cortex in the rat | Anatomical Science International

Substantia nigra und ventraler tegmentaler Bereich

The substantia nigra and ventral tegmental dopaminergic neurons from development to degeneration - ScienceDirect

Substantia nigra und ventraler tegmentaler Bereich

30+ Substantia Nigra Stock Photos, Pictures & Royalty-Free Images - iStock | Parkinson's disease, Parkinson's

Substantia nigra und ventraler tegmentaler Bereich

Substantia Nigra" Images – Browse 379 Stock Photos, Vectors, and Video | Adobe Stock

Substantia nigra und ventraler tegmentaler Bereich

Ventral Tegmental Area Flashcards | Quizlet

Substantia nigra und ventraler tegmentaler Bereich

Integrative Neuroscience

Substantia nigra und ventraler tegmentaler Bereich

Collateral projections from the ventral tegmental area/substantia nigra pars compacta to the nucleus accumbens and insular cortex in the rat | Anatomical Science International

Substantia nigra und ventraler tegmentaler Bereich

Substantia Nigra" Images – Browse 379 Stock Photos, Vectors, and Video | Adobe Stock

Substantia nigra und ventraler tegmentaler Bereich

Substantia hi-res stock photography and images - Page 2 - Alamy

Substantia nigra und ventraler tegmentaler Bereich

Stereological Estimation of Dopaminergic Neuron Number in the Mouse Substantia Nigra Using the Optical Fractionator and Standard Microscopy Equipment | Protocol (Translated to German)

Substantia nigra und ventraler tegmentaler Bereich

Mesopontine rostromedial tegmental nucleus neurons projecting to the dorsal raphe and pedunculopontine tegmental nucleus: psychostimulant-elicited Fos expression and collateralization | springermedizin.de

Substantia nigra und ventraler tegmentaler Bereich

15 Ventral Tegmental Area Images, Stock Photos, 3D objects, & Vectors | Shutterstock

Substantia nigra und ventraler tegmentaler Bereich

Collateral projections from the ventral tegmental area/substantia nigra pars compacta to the nucleus accumbens and insular cortex in the rat | Anatomical Science International

Substantia nigra und ventraler tegmentaler Bereich

Frontiers | Differences in neural connectivity between the substantia nigra and ventral tegmental area in the human brain

Substantia nigra und ventraler tegmentaler Bereich

Substantia hi-res stock photography and images - Page 2 - Alamy

Substantia nigra und ventraler tegmentaler Bereich

Collateral projections from the ventral tegmental area/substantia nigra pars compacta to the nucleus accumbens and insular cortex in the rat | Anatomical Science International

Substantia nigra und ventraler tegmentaler Bereich

15 Ventral Tegmental Area Images, Stock Photos, 3D objects, & Vectors | Shutterstock

Substantia nigra und ventraler tegmentaler Bereich

30+ Substantia Nigra Stock Photos, Pictures & Royalty-Free Images - iStock | Parkinson's disease, Parkinson's

Substantia nigra und ventraler tegmentaler Bereich

15 Ventral Tegmental Area Images, Stock Photos, 3D objects, & Vectors | Shutterstock

Substantia nigra und ventraler tegmentaler Bereich

30+ Substantia Nigra Stock Photos, Pictures & Royalty-Free Images - iStock | Parkinson's disease, Parkinson's

Substantia nigra und ventraler tegmentaler Bereich

Substantia hi-res stock photography and images - Page 2 - Alamy

Substantia nigra und ventraler tegmentaler Bereich

Similar Roles of Substantia Nigra and Ventral Tegmental Dopamine Neurons in Reward and Aversion | Journal of Neuroscience

Substantia nigra und ventraler tegmentaler Bereich

Substantia Nigra" Images – Browse 379 Stock Photos, Vectors, and Video | Adobe Stock

Substantia nigra und ventraler tegmentaler Bereich

5,528 Substantia Nigra Images, Stock Photos, 3D objects, & Vectors | Shutterstock

Substantia nigra und ventraler tegmentaler Bereich

Typical transcranial sonography findings. In the butterfly shaped... | Download Scientific Diagram

Substantia nigra und ventraler tegmentaler Bereich

5,528 Substantia Nigra Images, Stock Photos, 3D objects, & Vectors | Shutterstock

Substantia nigra und ventraler tegmentaler Bereich

Substantia Nigra" Images – Browse 379 Stock Photos, Vectors, and Video | Adobe Stock

Substantia nigra und ventraler tegmentaler Bereich

Similar Roles of Substantia Nigra and Ventral Tegmental Dopamine Neurons in Reward and Aversion | Journal of Neuroscience

Substantia nigra und ventraler tegmentaler Bereich

Frontiers | Anatomical Templates of the Midbrain Ventral Tegmental Area and Substantia Nigra for Asian Populations

Substantia nigra und ventraler tegmentaler Bereich

Comprehensive Profiling of Dopamine Regulation in Substantia Nigra and Ventral Tegmental Area | Protocol (Translated to German)

Substantia nigra und ventraler tegmentaler Bereich

30+ Substantia Nigra Stock Photos, Pictures & Royalty-Free Images - iStock | Parkinson's disease, Parkinson's

Substantia nigra und ventraler tegmentaler Bereich

Substantia Nigra" Images – Browse 379 Stock Photos, Vectors, and Video | Adobe Stock

Substantia nigra und ventraler tegmentaler Bereich

The Mouse Brainstem (Truncus encephali) | SpringerLink

Substantia nigra und ventraler tegmentaler Bereich

Area tegmentalis ventralis - Lexikon der Neurowissenschaft

Substantia nigra und ventraler tegmentaler Bereich

5,528 Substantia Nigra Images, Stock Photos, 3D objects, & Vectors | Shutterstock

Substantia nigra und ventraler tegmentaler Bereich

Putative role of pharmacogenetics to elucidate the mechanism of tardive dyskinesia in schizophrenia | Pharmacogenomics

Substantia nigra und ventraler tegmentaler Bereich

Abb. 9-10 Schematische Darstellung der neuropsychologischen Grundlagen... | Download Scientific Diagram

Substantia nigra und ventraler tegmentaler Bereich

Frontiers | Anatomical Templates of the Midbrain Ventral Tegmental Area and Substantia Nigra for Asian Populations

Substantia nigra und ventraler tegmentaler Bereich

Substantia Nigra" Images – Browse 379 Stock Photos, Vectors, and Video | Adobe Stock

Substantia nigra und ventraler tegmentaler Bereich

5,528 Substantia Nigra Images, Stock Photos, 3D objects, & Vectors | Shutterstock

Substantia nigra und ventraler tegmentaler Bereich

30+ Substantia Nigra Stock Photos, Pictures & Royalty-Free Images - iStock | Parkinson's disease, Parkinson's

Substantia nigra und ventraler tegmentaler Bereich

Frontiers | Anatomical Templates of the Midbrain Ventral Tegmental Area and Substantia Nigra for Asian Populations

Substantia nigra und ventraler tegmentaler Bereich

Basal ganglia - Wikipedia

Substantia nigra und ventraler tegmentaler Bereich

5,528 Substantia Nigra Images, Stock Photos, 3D objects, & Vectors | Shutterstock

Substantia nigra und ventraler tegmentaler Bereich

Frontiers | Anatomical Templates of the Midbrain Ventral Tegmental Area and Substantia Nigra for Asian Populations

Substantia nigra und ventraler tegmentaler Bereich

Mesencephalon m1/m2 | SpringerLink

Substantia nigra und ventraler tegmentaler Bereich

Substantia Nigra" Images – Browse 379 Stock Photos, Vectors, and Video | Adobe Stock

Substantia nigra und ventraler tegmentaler Bereich

Typical transcranial sonography findings. In the butterfly shaped... | Download Scientific Diagram

Substantia nigra und ventraler tegmentaler Bereich

30+ Substantia Nigra Stock Photos, Pictures & Royalty-Free Images - iStock | Parkinson's disease, Parkinson's

Substantia nigra und ventraler tegmentaler Bereich

Substantia Nigra a Basal Banglia Des Mittelhirns Bei Parkinson Stock Abbildung - Illustration von alzheimer, getrennt: 217397157

Substantia nigra und ventraler tegmentaler Bereich

Whole-Brain Map of Long-Range Monosynaptic Inputs to Different Cell Types in the Amygdala of the Mouse | springermedizin.de

Substantia nigra und ventraler tegmentaler Bereich

MuB 4) Hirnstamm und Mesencephalon-Karteikarten | Quizlet

Substantia nigra und ventraler tegmentaler Bereich

The Mouse Brainstem (Truncus encephali) | SpringerLink