Fotos 2025 Intravitreale Injektionsendophthalmitis

Intravitreale Injektionsendophthalmitis


Startseite


intravitreale Injektionsendophthalmitis

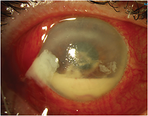
19 Endophthalmitis after intravitreal injection. A 56-yearold male... | Download Scientific Diagram

intravitreale Injektionsendophthalmitis

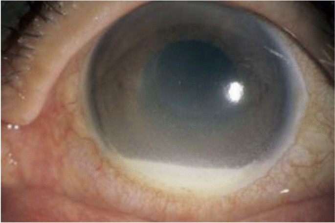
20 Endophthalmitis after intravitreal injection. A 60-yearold male... | Download Scientific Diagram

intravitreale Injektionsendophthalmitis

22 Endophthalmitis after intravitreal injection. A 60-yearold male... | Download Scientific Diagram

intravitreale Injektionsendophthalmitis

Ophthalmology Expert Witness Services

intravitreale Injektionsendophthalmitis

Endophthalmitis Associated with Intravitreal Anti-Vascular Endothelial Growth Factor Injections | Current Ophthalmology Reports

intravitreale Injektionsendophthalmitis

JCM | Free Full-Text | Safety Measures for Maintaining Low Endophthalmitis Rate after Intravitreal Anti-Vascular Endothelial Growth Factor Injection before and during the COVID-19 Pandemic

intravitreale Injektionsendophthalmitis

Retinal Physician | PentaVision

intravitreale Injektionsendophthalmitis

Endophthalmitis Rate 0.045% After Intravitreal Injection

intravitreale Injektionsendophthalmitis

Face Mask Wear Has No Effect on Endophthalmitis Post-Injection

intravitreale Injektionsendophthalmitis

Acute bacterial endophthalmitis after intravitreal bevacizumab injection: Case report and literature review - ScienceDirect

intravitreale Injektionsendophthalmitis

Managing Endophthalmitis After Intravitreal Injections - American Academy of Ophthalmology

intravitreale Injektionsendophthalmitis

Eye with infectious endophthalmitis after intravitreal triamcinolone... | Download Scientific Diagram

intravitreale Injektionsendophthalmitis

Slit-lamp photography 2 weeks after intravitreal injection of... | Download Scientific Diagram

intravitreale Injektionsendophthalmitis

Distinguishing Infection Post-Intravitreal Injection

intravitreale Injektionsendophthalmitis

Full article: Endophthalmitis: state of the art

intravitreale Injektionsendophthalmitis

Acute-Onset Endophthalmitis: Clinical Categories, Incidence Rates, Signs/Symptoms, Risk Factors, Microbiology, Treatment, and Follow-Up | SpringerLink

intravitreale Injektionsendophthalmitis

Intravitreal Injections and Endophthalmitis - Page 2

intravitreale Injektionsendophthalmitis

Cureus | Endophthalmitis After Intravitreal Bevacizumab (Avastin) Injections: An Outbreak Investigated | Article

intravitreale Injektionsendophthalmitis

Pseudo-endophthalmitis after intravitreal injection of triamcinolone | British Journal of Ophthalmology

intravitreale Injektionsendophthalmitis

Acute-Onset Endophthalmitis: Clinical Categories, Incidence Rates, Signs/Symptoms, Risk Factors, Microbiology, Treatment, and Follow-Up | SpringerLink

intravitreale Injektionsendophthalmitis

Figure 2 from An outbreak of streptococcus endophthalmitis after intravitreal injection of bevacizumab. | Semantic Scholar

intravitreale Injektionsendophthalmitis

Ophthalmology Expert Witness Services

intravitreale Injektionsendophthalmitis

Eye with noninfectious endophthalmitis after IVTA injection. Note the... | Download Scientific Diagram

intravitreale Injektionsendophthalmitis

An Outbreak of Streptococcus Endophthalmitis After Intravitreal Injection of Bevacizumab - ScienceDirect

intravitreale Injektionsendophthalmitis

Endophthalmitis was diagnosed on the left eye 6 weeks after the last... | Download Scientific Diagram

intravitreale Injektionsendophthalmitis

Endophthalmitis: state of the art - Document - Gale Academic OneFile

intravitreale Injektionsendophthalmitis

Endophthalmitis - All About Vision

intravitreale Injektionsendophthalmitis

Antisepsis for Intravitreal Injections

intravitreale Injektionsendophthalmitis

Acute-Onset Endophthalmitis: Clinical Categories, Incidence Rates, Signs/Symptoms, Risk Factors, Microbiology, Treatment, and Follow-Up | SpringerLink

intravitreale Injektionsendophthalmitis

JCM | Free Full-Text | Urgent Vitrectomy with Vancomycin Infusion, Silicone Oil Endotamponade, and General Antibiotic Treatment in Multiple Cases of Endophthalmitis from a Single Day of Intravitreal Injections—Case Series

intravitreale Injektionsendophthalmitis

Distinguishing Between Infectious Endophthalmitis and Noninfectious Inflammation Following Intravitreal Anti-VEGF Injection | Semantic Scholar

intravitreale Injektionsendophthalmitis

Antibioprophylaxis in Prevention of Endophthalmitis in Intravitreal Injection: A Systematic Review and Meta-Analysis | PLOS ONE

intravitreale Injektionsendophthalmitis

Ophthalmology Expert Witness Services

intravitreale Injektionsendophthalmitis

Preventionen of Endophthalmitis after intravitreal injection - Normeditec - PDF Catalogs | Technical Documentation

intravitreale Injektionsendophthalmitis

A Review of Postop Endophthalmitis

intravitreale Injektionsendophthalmitis

Trends in Endophthalmitis Associated With Intravitreal Injection of Anti-VEGF Agentsat a Tertiary Referral Center | Ophthalmic Surgery, Lasers and Imaging Retina

intravitreale Injektionsendophthalmitis

Ophthalmology Expert Witness Services

intravitreale Injektionsendophthalmitis

Endophthalmitis: Classification and Most Frequently Reported Organisms | Ento Key

intravitreale Injektionsendophthalmitis

Distinguishing Between Infectious Endophthalmitis and Noninfectious Inflammation Following Intravitreal Anti-VEGF Injection - Stephen G. Schwartz, Harry W. Flynn, Geoffrey G. Emerson, Netan Choudhry, Philip J. Ferrone, Roger A. Goldberg, Jennifer I. Lim,

intravitreale Injektionsendophthalmitis

Endophthalmitis - Wikipedia

intravitreale Injektionsendophthalmitis

Intravitreal injections as a leading cause of acute postoperative endophthalmitis—a regional survey in England | Eye

intravitreale Injektionsendophthalmitis

Meta-Analysis of Infectious Endophthalmitis After Intravitreal Injection of Anti-Vascular Endothelial Growth Factor Agents | Ophthalmic Surgery, Lasers and Imaging Retina

intravitreale Injektionsendophthalmitis

Intravitreal injection | PPT

intravitreale Injektionsendophthalmitis

Intravitreal Injection and Quantitation of Infection Parameters in a Mouse Model of Bacterial Endophthalmitis

intravitreale Injektionsendophthalmitis

Updated Guidelines for Intravitreal Injection

intravitreale Injektionsendophthalmitis

Endophthalmitis rate after intravitreal injections comparable to rate after cataract surgery

intravitreale Injektionsendophthalmitis

Postoperative Endophthalmitis | SpringerLink

intravitreale Injektionsendophthalmitis

JoF | Free Full-Text | Fungal Endophthalmitis: A Comprehensive Review

intravitreale Injektionsendophthalmitis

The Connection of Board Certification and Risk of Endophthalmitis After Intravitreal Injection

intravitreale Injektionsendophthalmitis

Community Eye Health Journal » Postoperative endophthalmitis

intravitreale Injektionsendophthalmitis

Filamentous fungal endophthalmitis: results of combination therapy wit | OPTH

intravitreale Injektionsendophthalmitis

Intravitreal injection of Pam3cys prevents the development of... | Download Scientific Diagram

intravitreale Injektionsendophthalmitis

Pharmaceutics | Free Full-Text | Review of Intraocular Pharmacokinetics of Anti-Infectives Commonly Used in the Treatment of Infectious Endophthalmitis

intravitreale Injektionsendophthalmitis

Sterile endophthalmitis after intravitreal triamcinolone acetonide injection: A case report series - ScienceDirect

intravitreale Injektionsendophthalmitis

Endophthalmitis-Like Reaction Following an Intravitreal Injection of Triamcinolone Acetonide | PDF

intravitreale Injektionsendophthalmitis

Intravitreal dexamethasone in exogenous bacterial endophthalmitis: results of a prospective randomised study | British Journal of Ophthalmology

intravitreale Injektionsendophthalmitis

Two non-infectious forms of endophthalmitis after intravitreal triamcinolone and cataract extraction | Eye

intravitreale Injektionsendophthalmitis

Topical ocular delivery of vancomycin loaded cationic lipid nanocarriers as a promising and non-invasive alternative approach to intravitreal injection for enhanced bacterial endophthalmitis management - Pharma Excipients

intravitreale Injektionsendophthalmitis

Endogenous Endophthalmitis: Diagnosis and Treatment - American Academy of Ophthalmology

intravitreale Injektionsendophthalmitis

Acute Bacterial Endophthalmitis Following Dexamethasone Intravitreal Implant: A Case Report | Semantic Scholar

intravitreale Injektionsendophthalmitis

Bacterial Endophthalmitis - Where We Stand ?

intravitreale Injektionsendophthalmitis

Endophthalmitis was induced by intravitreal injection of S. aureus in... | Download Scientific Diagram

intravitreale Injektionsendophthalmitis

Moran CORE | Chronic Postoperative Endophthalmitis

intravitreale Injektionsendophthalmitis

Vitrectomy combined with intravitreal antifungal therapy for posttraumatic fungal endophthalmitis in eastern China | BMC Ophthalmology | Full Text

intravitreale Injektionsendophthalmitis

A Novel and Low-cost Approach for Intravitreal Injection in an Experimental Model of Endophthalmitis | Journal of Ophthalmic and Vision Research (JOVR)

intravitreale Injektionsendophthalmitis

Endophthalmitis following intravitreal injection of anti-VEGF agents: long-term outcomes and the identification of unusual micro-organisms | Journal of Ophthalmic Inflammation and Infection | Full Text

intravitreale Injektionsendophthalmitis

Community Eye Health Journal » Emergency management: acute endophthalmitis

intravitreale Injektionsendophthalmitis

ENDOPHTHALMITIS: THE RETINA INSTITUTE BOARD CERTIFIED RETINAL MICRO-SURGICAL EYE CARE IN NEW ORLEANS, LA

intravitreale Injektionsendophthalmitis

PDF] Intravitreal dexamethasone effect on intravitreal vancomycin elimination in endophthalmitis. | Semantic Scholar

intravitreale Injektionsendophthalmitis

Intravitreal Injection Technique: a primer

intravitreale Injektionsendophthalmitis

Endophthalmitis after intravitreal treatment with ranibizumab | Enfermedades Infecciosas y Microbiología Clínica (English Edition)

intravitreale Injektionsendophthalmitis

Preventive factors, diagnosis, and management of injection-related endophthalmitis: a literature review | Graefe's Archive for Clinical and Experimental Ophthalmology

intravitreale Injektionsendophthalmitis

A Practical Guideline for Management of Endophthalmitis | Ophthalmic Surgery, Lasers and Imaging Retina

intravitreale Injektionsendophthalmitis

Endophthalmitis risk low after Intravitreal Injections, finds JAMA study

intravitreale Injektionsendophthalmitis

Prevention of Endophthalmitis in Anti-VEGF Intravitreal Injections - Normeditec - PDF Catalogs | Technical Documentation

intravitreale Injektionsendophthalmitis

Two non-infectious forms of endophthalmitis after intravitreal triamcinolone and cataract extraction | Eye

intravitreale Injektionsendophthalmitis

MIVS and Post-op Endophthalmitis

intravitreale Injektionsendophthalmitis

Sterile endophthalmitis after intravitreal triamcinolone acetonide injection: A case report series - ScienceDirect

intravitreale Injektionsendophthalmitis

PDF) Incidence of endophthalmitis after intravitreal injections at a tertiary care hospital

intravitreale Injektionsendophthalmitis

Risk Factors of Postoperative Endophthalmitis in Intravitreal Anti-VEGF Injection | Eye South East Asia

intravitreale Injektionsendophthalmitis

Filamentous fungal endophthalmitis: results of combination therapy wit | OPTH

intravitreale Injektionsendophthalmitis

Ophthalmology-Notes And Synopses - Postoperative Endophthalmitis: ▪️Acute Postoperative Endophthalmitis: * Refers to infectious endophthalmitis shortly after ocular surgery * Most present within 1-2 weeks, usually 3-5 days after the surgery. * Initial

intravitreale Injektionsendophthalmitis

Avoiding Complications During Intravitreal Injections - American Academy of Ophthalmology

intravitreale Injektionsendophthalmitis

Bacterial Endophthalmitis: Practice Essentials, Background, Pathophysiology

intravitreale Injektionsendophthalmitis

Sterile Endophthalmitis - ScienceDirect

intravitreale Injektionsendophthalmitis

Infectious and sterile endophthalmitis after intravitreal injections: differential diagnosis, prevention, treatment - Astakhov - Ophthalmology Reports

intravitreale Injektionsendophthalmitis

Photographs of the procedure. (A) Intravitreal antibiotic injection... | Download Scientific Diagram

intravitreale Injektionsendophthalmitis

Endophthalmitis - Infectious Disease Advisor

intravitreale Injektionsendophthalmitis

Distinguishing Infection Post-Intravitreal Injection

intravitreale Injektionsendophthalmitis

Minimizing complication of endophthalmitis for intravitreal injection (IVI) with clean room - Normeditec - PDF Catalogs | Technical Documentation

intravitreale Injektionsendophthalmitis

Preventive factors, diagnosis, and management of injection-related endophthalmitis: a literature review | Graefe's Archive for Clinical and Experimental Ophthalmology

intravitreale Injektionsendophthalmitis

Fulminant Endophthalmitis After Intravitreal Injection with Aflibercept Caused by Streptococcus mitis | Semantic Scholar

intravitreale Injektionsendophthalmitis

Intravitreal Injection and Quantitation of Infection Parameters in a Mouse Model of Bacterial Endophthalmitis

intravitreale Injektionsendophthalmitis

Culture-Proven Endophthalmitis After Intravitreal Injection: A 10-Year Analysis | Ophthalmic Surgery, Lasers and Imaging Retina

intravitreale Injektionsendophthalmitis

NEJM on Instagram: "Endophthalmitis is a potentially blinding intraocular infection of the vitreous, aqueous humor, or both. Nearly all cases are caused by bacteria or fungi. Endophthalmitis results in severe vision loss

intravitreale Injektionsendophthalmitis

Legal obligation in the general population: face mask influence on endophthalmitis after intravitreal injection | Graefe's Archive for Clinical and Experimental Ophthalmology

intravitreale Injektionsendophthalmitis

Clinical features, indications, management, and outcome of... | Download Table

intravitreale Injektionsendophthalmitis

Article | Outpatient Surgery Magazine

intravitreale Injektionsendophthalmitis

Sterile endophthalmitis after intravitreal triamcinolone acetonide injection: A case report series - ScienceDirect

intravitreale Injektionsendophthalmitis

Postoperative endophthalmitis: optimal management and the role and timing of vitrectomy surgery | Eye