Fotos 2025 Peripheres Ossifizierendes Fibrom

Peripheres Ossifizierendes Fibrom


Startseite


peripheres ossifizierendes Fibrom

Cureus | Atypical Presentation of Peripheral Ossifying Fibroma in the Mandible | Article

peripheres ossifizierendes Fibrom

Peripheral Ossifying Fibroma: A Clincal Report | June 2011 | Compendium

peripheres ossifizierendes Fibrom

Peripheral Ossifying Fibroma – Exodontia

peripheres ossifizierendes Fibrom

PDF] Peripheral ossifying fibroma: a case report. | Semantic Scholar

peripheres ossifizierendes Fibrom

Pathology Outlines - Peripheral ossifying fibroma

peripheres ossifizierendes Fibrom

Dentistry Journal | Free Full-Text | Atypical Peripheral Ossifying Fibroma of the Mandible

peripheres ossifizierendes Fibrom

Clinical photograph showing typical presentation of peripheral... | Download Scientific Diagram

peripheres ossifizierendes Fibrom

Cureus | Management of Peripheral Cemento-Ossifying Fibroma Associated With Maxillary Anterior Teeth: A Case Report | Article

peripheres ossifizierendes Fibrom

Large peripheral ossifying fibroma: Clinical, histological, and immunohistochemistry aspects. A case report | Revista Española de Cirugía Oral y Maxilofacial

peripheres ossifizierendes Fibrom

Peripheral ossifying fibroma: a left lower jaw, nodular lesion between... | Download Scientific Diagram

peripheres ossifizierendes Fibrom

Peripheral Ossifying Fibroma – Exodontia

peripheres ossifizierendes Fibrom

PDF] Peripheral Ossifying Fibroma Mimicking Pyogenic Granuloma: A Case Reportand Review of Literature | Semantic Scholar

peripheres ossifizierendes Fibrom

Large peripheral ossifying fibroma: Clinical, histological, and immunohistochemistry aspects. A case report | Revista Española de Cirugía Oral y Maxilofacial

peripheres ossifizierendes Fibrom

Peripheral Odontogenic Ossifying Fibroma | Registered Dental Hygienists

peripheres ossifizierendes Fibrom

Pathology Outlines - Peripheral ossifying fibroma

peripheres ossifizierendes Fibrom

Large peripheral ossifying fibroma interfering with the normal functions of the oral cavity: A rare case report presentation and discussion - ScienceDirect

peripheres ossifizierendes Fibrom

An Unusual Presentation of Peripheral Ossifying Fibroma - Decisions in Dentistry

peripheres ossifizierendes Fibrom

Peripheral ossifying fibroma: Review and case report

peripheres ossifizierendes Fibrom

Peripheral Ossifying Fibroma - Dr. Paul Mirdamadi DDS

peripheres ossifizierendes Fibrom

Peripheral Ossifying Fibroma – Exodontia

peripheres ossifizierendes Fibrom

Multicentric peripheral ossifying fibroma: A case report and review of the literature. - Abstract - Europe PMC

peripheres ossifizierendes Fibrom

The case of Peripheral Ossifying Fibroma - BMJ Case Reports blog

peripheres ossifizierendes Fibrom

Giant Peripheral Ossifying Fibroma Treated With Piezosurgery and Platelet‐Rich Fibrin: A Rare Case Report - Freire - 2019 - Clinical Advances in Periodontics - Wiley Online Library

peripheres ossifizierendes Fibrom

Peripheral ossifying fibroma | BMJ Case Reports

peripheres ossifizierendes Fibrom

Peripheral cemento-ossifying fibroma: A case report with review of literature

peripheres ossifizierendes Fibrom

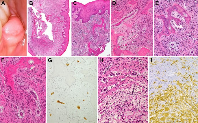
Clinicopathological features of peripheral ossifying fibroma in a series of 41 patients - ScienceDirect

peripheres ossifizierendes Fibrom

Peripheral Ossifying Fibroma: A Clincal Report | June 2011 | Compendium

peripheres ossifizierendes Fibrom

An unusual case of peripheral ossifying fibroma of the hard palate - IJPO

peripheres ossifizierendes Fibrom

CLINICOPATHOLOGICAL FEATURES OF PERIPHERAL OSSIFYING FIBROMA IN A SERIES OF 41 PATIENTS | PPT

peripheres ossifizierendes Fibrom

Giant peripheral ossifying fibroma with coincidental squamous cell carcinoma: a case report | Journal of Medical Case Reports | Full Text

peripheres ossifizierendes Fibrom

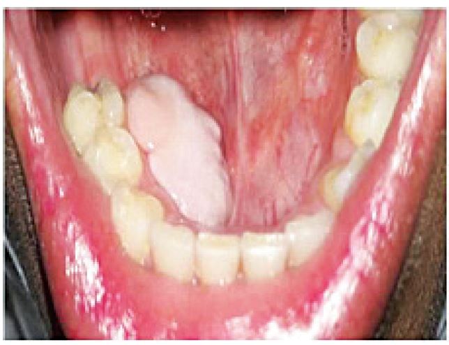
SciELO - Brasil - Peripheral ossifying fibroma on the mandible: report of atypical presentation case Peripheral ossifying fibroma on the mandible: report of atypical presentation case

peripheres ossifizierendes Fibrom

FULL TEXT - Peripheral ossifying fibroma of gingiva: A case report - International Journal of Case Reports and Images (IJCRI)

peripheres ossifizierendes Fibrom

Peripheral cemento-ossifying fibroma: A case report with review of literature

peripheres ossifizierendes Fibrom

Peripheral Ossifying Fibroma: A Case Report & Review of Literature | Semantic Scholar

peripheres ossifizierendes Fibrom

Peripheral Ossifying Fibroma Diagram

peripheres ossifizierendes Fibrom

An Unusual Presentation of Peripheral Ossifying Fibroma - Decisions in Dentistry

peripheres ossifizierendes Fibrom

Peripheral ossifying fibroma: Review and case report

peripheres ossifizierendes Fibrom

Recurrence of a Peripheral Ossifying Fibroma as a Pyogenic Granuloma Within 1 Week: A Case Report - Singhal - 2016 - Clinical Advances in Periodontics - Wiley Online Library

peripheres ossifizierendes Fibrom

Peripheral ossifying fibroma – Ace Achievers

peripheres ossifizierendes Fibrom

A digital manual for the early diagnosis of oral neoplasia

peripheres ossifizierendes Fibrom

A) Buccal view of peripheral ossifying fibroma; (b) lingual view of... | Download Scientific Diagram

peripheres ossifizierendes Fibrom

Dentistry Journal | Free Full-Text | Atypical Peripheral Ossifying Fibroma of the Mandible

peripheres ossifizierendes Fibrom

File:Peripheral ossifying fibroma computed tomography scan.jpg - Wikipedia

peripheres ossifizierendes Fibrom

Peripheral Ossifying Fibroma: A Clincal Report | June 2011 | Compendium

peripheres ossifizierendes Fibrom

Pathology Outlines - Peripheral ossifying fibroma

peripheres ossifizierendes Fibrom

Peripheral Ossifying Fibroma and Peripheral Odontogenic Fibroma: Close Relatives or Family? | Head and Neck Pathology

peripheres ossifizierendes Fibrom

A novel approach for the treatment of peripheral ossifying fibroma: A case report with 1-Year follow-up Karmakar S, Srinath R, Prakash S - J Dent Lasers

peripheres ossifizierendes Fibrom

Peripheral Ossifying Fibroma - Case Report

peripheres ossifizierendes Fibrom

CLINICOPATHOLOGICAL FEATURES OF PERIPHERAL OSSIFYING FIBROMA IN A SERIES OF 41 PATIENTS | PPT

peripheres ossifizierendes Fibrom

PERIPHERAL OSSIFYING FIBROMA - ppt download

peripheres ossifizierendes Fibrom

Peripheral Ossifying Fibroma - YouTube

peripheres ossifizierendes Fibrom

Hybrid peripheral giant cell granuloma and peripheral ossifying fibroma lesion: A rare case report and review of the literature - ScienceDirect

peripheres ossifizierendes Fibrom

Peripheral Ossifying Fibroma - Dr. Paul Mirdamadi DDS

peripheres ossifizierendes Fibrom

Giant Peripheral Ossifying Fibroma Treated With Piezosurgery and Platelet‐Rich Fibrin: A Rare Case Report | Semantic Scholar

peripheres ossifizierendes Fibrom

Peripheral ossifying fibroma on the mandible: report of atypical presentation case

peripheres ossifizierendes Fibrom

Cureus | Peripheral Ossifying Fibroma Evolved From Pyogenic Granuloma | Article

peripheres ossifizierendes Fibrom

Recurrent multicentric peripheral ossifying fibroma-like lesion in a child: a case report | BMC Research Notes | Full Text

peripheres ossifizierendes Fibrom

Similar appearances in oral pathology: Is it a peripheral ossifying fibroma or a pyogenic granuloma? | Registered Dental Hygienists

peripheres ossifizierendes Fibrom

Coverage Root after Removing Peripheral Ossifying Fibroma: 5-Year Follow-Up Case Report - Document - Gale OneFile: Health and Medicine

peripheres ossifizierendes Fibrom

FULL TEXT - Gigantic peripheral ossifying fibroma of the mandible: A Venezuelan case report - International Journal of Case Reports and Images (IJCRI)

peripheres ossifizierendes Fibrom

Soft tissue lesions - Bauer Smiles

peripheres ossifizierendes Fibrom

Peripheral ossifying fibroma. (a) Original presentation of a peripheral... | Download Scientific Diagram

peripheres ossifizierendes Fibrom

Palatal peripheral ossifying fibroma: A rare occurrence. - Abstract - Europe PMC

peripheres ossifizierendes Fibrom

Reactive Lesions of Oro-Maxillofacial Region | SpringerLink

peripheres ossifizierendes Fibrom

Pathology Outlines - Peripheral ossifying fibroma

peripheres ossifizierendes Fibrom

Peripheral ossifying fibroma on the mandible: report of atypical presentation case

peripheres ossifizierendes Fibrom

View Image

peripheres ossifizierendes Fibrom

Incidence of reactive hyperplastic lesions in the oral cavity: a 10 year retrospective study in Santa Catarina, Brazil | Brazilian Journal of Otorhinolaryngology

peripheres ossifizierendes Fibrom

Peripheral Ossifying Fibroma in Infant: A Case Report

peripheres ossifizierendes Fibrom

Dentistry Journal | Free Full-Text | Atypical Peripheral Ossifying Fibroma of the Mandible

peripheres ossifizierendes Fibrom

Oral Fibromas and Fibromatoses: Background, Fibroma, Giant Cell Fibroma

peripheres ossifizierendes Fibrom

Peipheral ossifying fibroma by Dr. Anuj S. Parihar - Issuu

peripheres ossifizierendes Fibrom

Multifaceted presentation of peripheral ossifying fibroma: Case series spanning three age groups - IJPI

peripheres ossifizierendes Fibrom

Odontogenic cyst Peripheral odontogenic fibroma Peripheral ossifying fibroma, Dermitek, png | Klipartz

peripheres ossifizierendes Fibrom

PDF] Palatal peripheral ossifying fibroma: A rare occurrence | Semantic Scholar

peripheres ossifizierendes Fibrom

Peripheral ossifying fibroma: A clinicopathologic study of 27 cases and review of the literature with emphasis on histomorphologic features. - Abstract - Europe PMC

peripheres ossifizierendes Fibrom

File:Psammomatoid ossifying fibroma Histopathology HE.jpg - Wikimedia Commons

peripheres ossifizierendes Fibrom

Dr. Ziauddin Ahmad Dental College, AMU - PERIPHERAL ODONTOGENIC FIBROMA & PERIPHERAL OSSIFYING FIBROMA are two different lesions....(Shafer's Textbook Of Oral Pathology (6Th Edition) Page 128...confers these as synonyms) PERIPHERAL ODONTOGENIC FIBROMA

peripheres ossifizierendes Fibrom

PDF: Peripheral Ossifying Fibroma A Clinical Report

peripheres ossifizierendes Fibrom

Peripheral Ossifying Fibroma — ORAL PATHOLOGY-SAVEETHA

peripheres ossifizierendes Fibrom

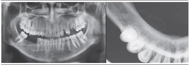
Imaging in the Diagnosis of Cemento-Ossifying Fibroma: A Case Series - Journal of Clinical Imaging Science

peripheres ossifizierendes Fibrom

Peripheral ossifying fibroma: Review and case report

peripheres ossifizierendes Fibrom

PDF) Peripheral ossifying fibroma: Review and case report

peripheres ossifizierendes Fibrom

Treatment of Esthetic Sequelae of Peripheral Ossifying Fibroma with Suine Collagen Matrix-Case Report | Iris Publishers

peripheres ossifizierendes Fibrom

Peripheral Ossifying Fibroma on Edentulous Mandibular Alveolar Mucosa | Journal of Maxillofacial and Oral Surgery

peripheres ossifizierendes Fibrom

A peripheral giant cell granuloma with extensive osseous metaplasia or a hybrid peripheral giant cell granuloma-peripheral ossifying fibroma: a case report – ScienceOpen

peripheres ossifizierendes Fibrom

Common Lesions of Varied Etiology | IntechOpen

peripheres ossifizierendes Fibrom

🥊 Bump on the gums? The 4Ps come to mind:⁣ ⁣ 1️⃣ Pyogenic Granuloma⁣ 2️⃣ Peripheral Ossifying Fibroma ⁣ 3️⃣ Peripheral Giant Cell… | Instagram

peripheres ossifizierendes Fibrom

Pathology Outlines - Peripheral ossifying fibroma

peripheres ossifizierendes Fibrom

The case of Peripheral Ossifying Fibroma - BMJ Case Reports blog

peripheres ossifizierendes Fibrom

Peripheral ossifying fibroma

peripheres ossifizierendes Fibrom

PDF) Peripheral Ossifying Fibroma: A rare case report | IP Innovative Publication Pvt. Ltd. - Academia.edu

peripheres ossifizierendes Fibrom

CLINICOPATHOLOGICAL FEATURES OF PERIPHERAL OSSIFYING FIBROMA IN A SERIES OF 41 PATIENTS | PPT

peripheres ossifizierendes Fibrom

Peripheral Cemento-Ossifying Fibroma withUncommon Clinical Presentation: A Case Report

peripheres ossifizierendes Fibrom

An Unusual Presentation of Peripheral Ossifying Fibroma - Decisions in Dentistry

peripheres ossifizierendes Fibrom

Ossifying Fibroma - YouTube